Пн-пт: 09:00—21:00; сб-вс: 10:00—19:00
whatsapp telegram vkontakte email

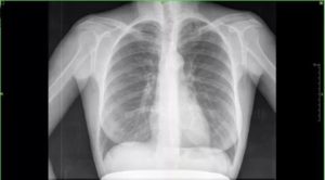
Рентгеновский снимок здоровых легких фото

image

Рентген легких при пневмонии является не только методом выявления заболевания, но и способом контроля динамики его течения при терапии. Существует несколько форм воспалительных изменений легких в зависимости от области распространения патологического процесса, рентгеносемиотика которых отличается.

Рентген-снимки при крупозной пневмонии характеризуются следующими синдромами:

  1. Обширное (тотальное) снижение прозрачности легочной ткани.
  2. Субтотальное затемнение – при локализации воспаления в пределах одной или двух долей легких.
  3. Ограниченное затемнение – инфильтративные изменения легочной ткани, не выходящие за пределы сегмента.

Вышеописанные признаки наблюдаются не только при крупозной пневмонии. Они прослеживаются также при: ателектазе, раке легких, плевритах, туберкулезных пневмонитах, инфаркте легкого.

Рентген пневмонии должен базироваться на дополнительных признаках постадийного течения воспалительных изменений в легочной ткани для достоверной установки диагноза.

Стадия прилива – начальный этап формирования крупозного воспаления легких. При ней на снимках наблюдаются следующие рентгенологические синдромы:

  1. Обогащение и усиление легочного рисунка.
  2. Сниженная или обычная прозрачность легочных полей.
  3. Расширение корня легкого на стороне поражения.

Изменение легочного рисунка возникает из-за повышения кровоснабжения на фоне снижения функциональной емкости легочной ткани. Снимок органов грудной клетки в такой ситуации выглядит как решетка. Правда, подобные изменения наблюдаются только в месте локализации воспалительного очага.

При повышении воздушности легочные поля на рентгенограмме становятся прозрачными. Морфологические срезы ткани на стадии прилива свидетельствуют о том, что альвеолы становятся красными из-за кровотечений, но рентгенологически данный признак зафиксировать невозможно.

Корень легкого становится расширенным, а его структурность снижается, что обусловлено сосудистой гипертензией.

Рентгенография органов грудной клетки в стадии серого опеченения способна зафиксировать следующие рентгеновские признаки пневмонии:

  1. Снижение прозрачности легочных полей в области воспалительного поражения.
  2. Появление интенсивных теней, соответствующих размерам поврежденной ткани.
  3. На фоне массивного затемнения полоски просветления – визуализация трахеи и бронхов, которые не поражены воспалением.
  4. Расширение корня на стороне патологии.
  5. Уплотнение плевральных листков в области воспаления.
  6. Выпот в плевральной щели при присоединении плеврита.

Диагностировать плеврит лучше при выполнении латерографии (экспозиция в положении пациента на больной стороне). При этом свободная жидкость будет растекаться вдоль реберной дуги, формируя горизонтальную полосу затемнения. Морфологические фото в стадии серого опеченения показывают скопление фибрина в полости альвеол.

рентгенограмма левосторонней прикорневой пневмонии. Стрелками обозначена деформация легочного рисунка и отсутствие структуры корня (а). Через 2 месяца после пневмонии на фоне воспаления образовались фиброзные тяжи — карнификация (б)

На рентгенограмме при пневмонии в стадии разрешения наблюдаются следующие признаки:

  1. Снижение интенсивности затемнения.
  2. Уменьшение размеров тени.
  3. Расширение корня.
  4. Обогащение легочного рисунка (множество мелких элементов на единицу площади) в месте существовавшего очага воспаления.

Расширенный корень легкого в стадии разрешения пневмонии может наблюдаться еще несколько месяцев подряд, пока анатомические структуры не восстановятся.

https://youtube.com/watch?v=uuUMNSa25q8

Каждому человеку хочется приходить к врачам только для профилактики. Но наша жизнь вкупе с экологией и так лишила нас возможности быть полностью здоровым. Стоит ли усугублять ситуацию и укорачивать себе жизнь

Источник: https://tomografa.net/rentgen/grudnaya-kletka/legkie-zdorovogo-cheloveka.html

Поделиться:

Ссылка на основную публикацию
Похожее