Пн-пт: 09:00—21:00; сб-вс: 10:00—19:00
whatsapp telegram vkontakte email

Инфаркт пневмония легкого

image

Инфаркт легкого – это нарушение кровообращения на отдельном участке легочной паренхимы. Второе название болезни – легочная эмболия. Она возникает из-за закупорки сегментарных, долевых и более мелких легочных артерий тромбом.

Согласно статистике, инфаркт легкого составляет примерно 10-25% от всех случаев тромбоэмболии легочной артерии (ТЭЛА). Довольно часто диагноз не устанавливается при жизни пациента. Летальный исход от заболевания регистрируется по разным источникам у 5-30% больных. Риск смерти от легочной эмболии повышается, если отсутствует грамотное лечение, имеются сопутствующие фоновые патологии.

Следует отметить, инфаркт правого легкого встречается в два раза чаще, чем левого. Нижние доли органа поражаются в четыре раза чаще верхних.

Инфаркт легкого – классификация заболевания

В зависимости от того, насколько сильно закрыт просвет легочной артерии тромбоэмболом, выделяют следующие виды инфаркта легкого:

  • Субмассивная тромбоэмболия (диагностируется закупорка на уровне сегментарных и долевых ветвей).
  • Массивная тромбоэмболия (тромб перекрывает основной ствол либо главные ветви легочной артерии).
  • Тромбоэмболия мелких легочных артерий.

Также инфаркт легкого может быть:

  • первичным (неизвестно, откуда оторвался тромбоэмбол) и вторичным (помимо легочной эмболии, у больного имеется тромбофлебит вен);
  • обширным (большая площадь поражения) и ограниченным (перекрыты только субсегментарные ветви легочной артерии);
  • осложненным (сепсисом, кровохарканьем, эмпиемой плевры, абсцедированием) и неосложненным.

Геморрагический инфаркт легкого

Тромбоэмболия легочных артерий нередко приводит к ишемизации легочной паренхимы. В результате поврежденная ткань легкого переполняется кровью, которая поступает из зон с нормальной васкуляризацией. Развивается геморрагический инфаркт легкого.

На участке воспаления создаются оптимальные условия для развития инфекции, что провоцирует возникновение симптомов инфаркт-пневмонии. Если ветвь легочной артерии перекрывается инфицированным тромбом, отмечается деструкция паренхимы, формируется абсцесс легкого.

Чаще всего инфаркт легкого развивается у лиц, которые страдают от заболеваний сердечно-сосудистой системы:

При этом тромбы формируются в ушке правого предсердия и заносятся с током крови в артерии малого круга.

Также причинами инфаркта легкого могут стать:

  • тромбофлебит глубоких тазовых вен;
  • тромбоз вен ног.

При этих двух заболеваниях опасными являются флотирующие тромбы, которые закреплены в дистальном отделе венозного сосуда.

К прочим причинам легочной эмболии относятся:

  • перелом трубчатых костей, из-за которого больной вынужден долгое время соблюдать постельный режим;
  • кесарево сечение, естественные роды;
  • обширные торакальные, абдоминальные и гинекологические операции;
  • геморроидэктомии.

Риск возникновения инфаркта легкого высок у лиц старше 60 лет, а также при:

  • рецидивирующих венозных тромбозах;
  • наследственной отягощенности по ТЭЛА;
  • приеме гормональных контрацептивов;
  • наличии опухоли поджелудочной железы;
  • ожирении;
  • легочной гипертензии.

Опасными фоновыми патологиями считаются:

  • ДВС-синдром;
  • серповидно-клеточная анемия;
  • полицитемия;
  • гепарининдуцированная тромбоцитопения.

8.8 42 отзывов Терапевт Нефролог Гастроэнтеролог Кардиолог Пульмонолог Врач высшей категории Саидмагомедова Марям Ахмедовна Стаж 11 лет Кандидат медицинских наук 8 (495) 185-01-01 8 (499) 969-25-84 9.

7 20 отзывов Терапевт Пульмонолог Иммунолог Врач высшей категории Глушко Раиса Александровна Стаж 59 лет Кандидат медицинских наук 9.

1 45 отзывов Кардиолог Терапевт УЗИ-специалист Пульмонолог Врач высшей категории Узакова Милана Полотжановна Стаж 10 лет 10 166 отзывов Кардиолог Невролог Пульмонолог Ревматолог Рефлексотерапевт Гирудотерапевт Врач высшей категории Сафиуллина Аделия Юрьевна Стаж 30 лет Кандидат медицинских наук 9.6 16 отзывов Елагин Роман Иванович Стаж 24 года Кандидат медицинских наук 9.4 10 отзывов Алиев Надир Сабирович Стаж 23 года

Первые симптомы инфаркта легкого проявляются через два-три дня после закупорки тромбом ветви легочной артерии. Больной ощущает внезапную боль в груди, которая усиливается при кашле, глубоком дыхании, во время наклонов туловища. Дискомфорт в области грудной клетки объясняется реактивным плевритом на некротизированном участке легкого.

https://youtube.com/watch?v=nv8d8s9RTxU

При реакции диафрагмальной плевры возможен «острый живот». У 30% больных наблюдается кровохарканье либо появляются «ржавые» прожилки в мокроте. У 2-5% открывается легочное кровотечение.

Также инфаркт легкого может проявляться:

У половины больных развивается геморрагический или серозный плеврит. Изредка возникают церебральные расстройства. Их симптомы:

Если Вы обнаружили у себя схожие симптомы, незамедлительно обратитесь к врачу. Легче предупредить болезнь, чем бороться с последствиями.

Диагностикой легочной эмболии занимаются врачи пульмонологи и кардиологи. В ходе физикального исследования выявляются:

  • мелкие хрипы;
  • ослабление дыхания;
  • шум трения плевры;
  • систолический шум;
  • укорочение перкуторного звука;
  • ритм галопа;
  • расщепление и акцент второго тона на аорте.

Во время ощупывания живота врач отмечает увеличение и болезненность печени.

Биохимия крови, общий анализ крови и анализ газового состава крови при инфаркте легкого показывают:

  • умеренный лейкоцитоз;
  • артериальную гипоксемию;
  • общий билирубин при нормальных значениях трансаминаз;
  • повышенную активность лактатдегидрогеназы.

Инфаркт легкого на ЭКГ проявляется признаками перегрузки правых сердечных отделов, неполной блокадой правой ножки пучка Гиса. ЭхоКГ-маркеры легочной эмболии могут включать:

  • гипокинезию и расширение правого желудочка;
  • повышение давления в артерии легкого;
  • обнаружение тромба в правых отделах сердца.

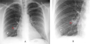
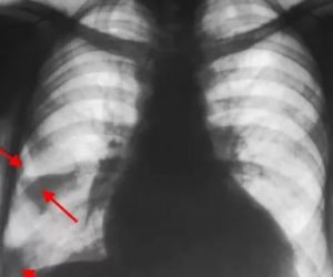
На УЗДГ вен нижних конечностей при инфаркте легкого диагностируется тромбоз глубоких вен. На рентгене легких в боковой и прямой проекциях просматриваются:

  • деформация и расширение корня легкого;
  • зона снижения прозрачности, имеющая вид клина;
  • выпот в плевральной полости.

Ангиопульмонография при легочной эмболии выявляет сужение просвета легочной артерии из-за внутриартериальных дефектов наполнения. Для подтверждения наличия участков снижения перфузии легких применяется сцинтиграфия.

Инфаркт легкого нужно дифференцировать с:

Лечение инфаркта легкого у детей и взрослых предусматривает использование:

  • ненаркотических либо наркотических анальгетиков для купирования болевого синдрома;
  • прямых (Фракипарин, Гепарин) и непрямых коагулянтов для профилактики дальнейшего тромбообразования (коагулянты противопоказаны при кровотечениях, язвенной болезни двенадцатиперстной кишки/желудка, геморрагическом диатезе, злокачественных опухолях);
  • фибринолитической терапии Урокиназой, Стрептокиназой или тканевым активатором плазминогена для растворения имеющихся тромбов.

Если инфаркт легкого осложнен артериальной гипертензией, внутривенно вводятся вазопрессоры («Допамин», «Норадреналин»), «Реополиглюкин». При первых симптомах инфаркт-пневмонии назначаются антибиотики. Также пациенты с легочной эмболией нуждаются в ингаляциях кислородом через специальный назальный катетер.

Если консервативное лечение не обеспечивает улучшения самочувствия, проводится тромбоэмболэктомия из легочной артерии – кава-фильтр устанавливают в систему нижней полой вены.

При грамотном лечении инфаркт легкого не представляет большой угрозы для жизни человека. Но иногда он приводит к внезапному летальному исходу.

Риск осложнений при легочной эмболии повышается при частых рецидивах ТЭЛА, тяжелой сердечной недостаточности и других серьезных заболеваниях (отек легкого, постинфарктная пневмония, нагноительные процессы в легком).

Профилактика инфаркта легкого проводится с учетом причин, спровоцировавших развитие болезни. Чтобы избежать легочной эмболии, кардиологии и пульмонологи рекомендуют:

  • своевременно лечить тромбофлебиты;
  • носить компрессионный трикотаж при патологиях вен нижних конечностей;
  • ежедневно делать лечебную гимнастику;
  • соблюдать сроки использования внутривенных катетеров при проведении инфузионной терапии;
  • следовать рекомендациям врача после пройденного хирургического лечения.

Данная статья размещена исключительно в познавательных целях и не является научным материалом или профессиональным медицинским советом.

Источник: https://illness.DocDoc.ru/infarkt_legkogo

image

Инфаркт легкого – заболевание, характеризующееся нарушением кровоснабжения участка легочной ткани вследствие закупоривания артерии, несущей к нему кровь, тромбом или эмболом. В зависимости от площади поражения может протекать и практически бессимптомно, и с ярчайшими клиническими проявлениями, со значительным ухудшением состояния больного, а в ряде случаев приводит даже к его смерти.

По сути, инфаркт легкого – один из вариантов тромбоэмболии легочной артерии (ТЭЛА), причем составляет от 10 до 25 % всех ее случаев. Он может быть диагностирован и у пожилых людей, и у лиц молодого возраста, преимущественно у женщин.

О том, почему возникает это заболевание, как оно проявляется, о принципах диагностики и лечения инфаркта легкого вы узнаете из нашей статьи.

Инфаркт легкого – не самостоятельная патология. Обычно он развивается у лиц, страдающих заболеваниями, среди характеристик которых недостаточность кровообращения и повышенная склонность к образованию тромбов. Таковыми являются:

  • ишемическая болезнь сердца, особенно инфаркт миокарда;
  • фибрилляция предсердий;
  • ревматическая болезнь сердца;
  • различные кардиомиопатии;
  • миксома предсердия;
  • бактериальный эндокардит;
  • васкулиты;
  • хроническая сердечная недостаточность;
  • острый венозный тромбоз сосудов нижних конечностей;
  • тромбофлебит глубоких вен таза;
  • переломы трубчатых костей (фрагменты костного мозга при переломах попадают в кровоток и становятся причиной множественных жировых эмболий легких; риск эмболии повышается при длительном постельном режиме и продолжительной иммобилизации пораженной конечности);
  • хирургические вмешательства (кесарево сечение, полостные операции);
  • операция по удалению варикозно расширенных вен прямой кишки при геморрое;
  • послеродовый период.

При болезнях сердца тромбы образуются, как правило, в ушке правого предсердия, а затем с кровью заносятся в артерии легких.

Инфаркт или рак лёгких: выбирать вамИнфаркт или рак лёгких: выбирать вам

Появляются одышка, вероятен цианоз. Одновременно с этим сужение русла сосудов в легких приводит к тому, что существенно увеличивается давление в сосудах так называемого малого круга, по которому циркулирует кровообращение. Это приводит к дополнительным нагрузкам на желудочки сердца и может привести к сердечной недостаточности.

Наличие тромбов в легочной артерии приводит к ишемии пострадавшего участка легкого, кровообращение нарушено и данный участок переполняется кровью. Именно это становится причиной развития такого заболевания как инфарктная пневмония.

В тяжелых случаях ткань легкого может даже стремительно разрушаться, приводя к абсцессу.

Поделиться:

Ссылка на основную публикацию
Похожее