Пн-пт: 09:00—21:00; сб-вс: 10:00—19:00
whatsapp telegram vkontakte email

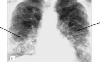
Двусторонняя нижнедолевая пневмония

image

Двустороннее нижнедолевое воспаление легких – заболевание нижних дыхательных путей инфекционной природы, развивающиеся на фоне ослабленного иммунитета, сердечной или легочной недостаточности, когда в отдаленных отделах формируются застойные явления. При отсутствии надлежащей медицинской помощи может наступить летальный исход.

Двухсторонняя нижнедолевая пневмония тяжелее всего протекает у маленьких детей и людей преклонного возраста. В группе риска находятся лица, злоупотребляющие вредными привычками, имеющие низкий иммунитет и тяжелые хронические заболевания. В развитии болезни немалую роль играют условия труда, а также регион проживания.

Схематическое изображение легких

В отличие от очаговых или односторонних пневмоний, при развитии воспаления с двух сторон следует говорить о чрезвычайно низком иммунитете или наличии системных нарушений здоровья. Заболеванию способствует недостаточная циркуляция крови и плохая вентиляция нижних отделов легочной ткани.

Поэтому чаще всего недуг регистрируется среди лиц следующих категорий:

  • дети до 3-лет и лица старше 65-70 лет;
  • при сердечной недостаточности;
  • у лиц, страдающих ожирением;
  • тяжелобольные люди после сложных операций, кровоизлияния в мозг, переломов, пациенты из реанимации и интенсивной терапии;
  • лица с пониженным иммунитетом: больные ХОЗЛ, ВИЧ-инфицированные, онкобольные, диабетики, при длительном приеме стероидных препаратов и алкоголики.

Важно. Двустороннее воспаление легких требует немедленной антибактериальной терапии в условиях стационара под ежедневным наблюдением лечащего врача. В случае осложнения пациент может быть переведен из пульмонологического в отделение интенсивной терапии или даже реанимацию, что зависит от состояния больного.

Как уже указано выше, основная причина заболевания – снижение иммунитета. На этом фоне при переохлаждении, контакте с носителем патогенного микроба, заболеваниях верхних дыхательных путей, наличии другого источника инфекции в самом организме имеется существенная вероятность развития пневмонии.

Внебольничная нижнедолевая двусторонняя пневмония чаще всего провоцируется следующими видами микроорганизмов:

  • пневмококк (Streptococcus pneumoniae) — стрептококковая инфекция, которая является наиболее частой причиной развития воспаления легких;
  • гемофильные бактерии и стафилококк;
  • легионелла;
  • кишечная палочка;
  • микоплазмы.

При госпитальной пневмонии (случай, когда заболевание развивается в течение 48-72 часов после пребывания человека в условиях стационара) чаще всего больные инфицируются синегнойной палочкой.

При развитии двустороннего воспаления в легочной ткани возникают микрокровоизлияния (крупозное воспаление), что объясняет образование кровяного экссудата (красное опеченение). Одновременно в альвеолах скапливаются фибриновые отложения, что окрашивает легочную ткань в серый цвет (серое опеченение).

В случае развития этой патологии без медикаментозной терапии развивается дыхательная недостаточность, которая становится причиной летального исхода.

Заметка. Чаще всего нижнедолевые двухсторонние пневмонии регистрируются в межсезонье, когда превышен допустимый эпидемиологический порог. Поэтому в целях профилактики следует по возможности избегать мест большого скопления людей.

Признаки воспаления легких

Заболевание развивается стремительно и имеет довольно выраженные признаки:

  • фебрильная температура держится более трех суток;
  • боли в груди с обеих или с одной стороны;
  • усиленное потоотделение;
  • при вдохе отдышка, в дыхательный акт вовлекается межреберная мускулатура, дыхательная недостаточность;
  • цианоз лица;
  • в первые дни болезни сухой кашель, после начала лечения начинает стабильно отхаркиваться мокрота (рыжая или бурая, с кровяными элементами).

Врач рассматривает легкие на рентгенологическом снимке грудной клетки

Наличие воспаления легких в данном случае определить не составляет сложности из-за яркой клинической картины. При первичном осмотре и беседе с больным врач уточняет симптоматику, осматривает внешние покровы, выслушивает легкие (хрипы и крепитация в нижних отделах).

Больной направляется на рентген, который покажет локализацию воспалительных очагов в виде затемнения и усиления легочного рисунка, а также вероятные осложнения (абсцесс, плеврит и другие). В особых случаях используют спиральную компьютерную томографию (детям противопоказано). Кроме этого, назначают анализы крови, мочи и бактериологическое исследование мокроты.

https://youtube.com/watch?v=TaaOdAak7KA

Реанимационное пособие больным с тяжелыми формами пневмонии и дыхательной недостаточностью заключается во введении иммунизированной плазмы, иммуноглобулинов, коррекции гематокрита, введении гормонов.

При необходимости пациента переводят на ИВЛ, начинают введение вазопрессорных аминов.

Купирование шоковых состояний производится под постоянным контролем жизненных показателей (сердечный ритм, АД, уровень сатурации, температура тела).

Длительность терапии у амбулаторных пациентов обычно не превышает 7-14 суток, что равно длительности полного курса антибиотиков. Несколько дольше могут приниматься муколитики, облегчающие остаточный кашель и ускоряющие его исчезновение. Аналогичное время требуется для восстановления госпитальных больных.

Восстановительный период (амбулаторное долечивание) при этом достигает 1 месяца. Предсказать длительность пребывания в стационаре для реанимационных больных не представляется возможным.

Одни пациенты переводятся в общее отделение уже через несколько дней после госпитализации, другие задерживаются в ОРИТ на месяц и более.

Прогноз по очаговым и сегментарным пневмониям благоприятный, если лечение было начато вовремя. При отсутствии противомикробной терапии процесс быстро захватывает нижнюю долю легкого и продолжает распространяться, что в конечном итоге приводит к гибели пациента.

Предсказать исход крупозных воспалений невозможно. Многое зависит от изначального состояния здоровья пациента, уровня его иммунной защиты, приверженности к лечению. Известно, что смертность от внебольничных пневмоний составляет 5%, от госпитальных – 20%.

Примерно 30% умерших приходится на людей пожилого возраста.

Профилактика воспаления легких в основном включает в себя мероприятия по укреплению иммунитета (закаливание, витаминотерапия, ЗОЖ, при необходимости – прием иммуномодуляторов). Кроме того, предотвратить болезнь можно, если всегда одеваться по погоде, весной и осенью избегать пребывания в людных местах, своевременно посещать врача и начинать лечение при ОРЗ и ОРВИ.

Нижнедолевая пневмония – жизненно-опасное заболевание, быстро переходящее из очаговой в сегментарную или крупозную. Чтобы предотвратить прогрессирование болезни и развитие осложнений, не следует заниматься самолечением. В домашних условиях невозможно правильно определить причины имеющегося недомогания и начать грамотную терапию. Все это может сделать только врач.

Источник: http://ingalin.ru/pnevmoniya/nizhnedolevaya.html

Поделиться:

Ссылка на основную публикацию
Похожее