Рентгенограмма легких – суммационное изображение мягких тканей грудной клетки. На пути прохождения рентгеновских лучей некоторые структуры поглощают, а другие отражают излучение. Такая игра отображается на рентгеновской пленке или цифровом носителе.
Врач-рентгенолог читает рентгеновский снимок, состоящий из комплекса теней белого и серого цветов. Их сочетание между собой формирует изображение, которое специалист расшифровывает и делает описание.
Наши специалисты готовы бесплатно расшифровать рентгенограммы читателей. Предлагаем также внимательно разобраться самостоятельно с комплексом рентгеновских затемнений и просветлений.
Рентгеновские снимки легких (органов грудной клетки) анализируются по схеме «ПоЧиФоРа и ИнРиКоС». Как расшифровать эти термины:
- По – положение;
- Чи – число;
- Фо – форма;
- Ра – размеры;
- Ин – интенсивность;
- Ри – рисунок;
- Ко—контуры;
- С – смещаемость.
Данному алгоритму учат студентов медицинских университетов, готовящихся стать врачами-рентгенологами.
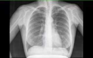
Рассмотрим для примера рентгеновский снимок легких в норме:
На нем визуализируется множество затемнений и просветлений (белого и черного цвета), которые могут запугать читателей. На самом деле эта рентгенограмма расшифровывается просто (см. следующий снимок)
На рентгенограмме подписаны все анатомические структуры, чтобы читателям было легко разобраться. Предлагаем запомнить интенсивность легочных полей. Норма не предполагает наличия патологических затемнений (белого цвета) и просветлений (темного цвета), которых нет на изображении.
Если «набить глаз», научитесь четко отличать норму от патологии.
Рентген здоровых легких описывать следует по классическому стандарту. Вначале вносятся записи о патологических рентгеновских синдромах, затем легочные поля, корни, купола диафрагмы, реберно-диафрагмальные синусы, сердечная тень и мягкие ткани.
Классический алгоритм описания здоровых легких:
- В легочных полях без видимых очаговых и инфильтративных теней;
- Корни не расширены, структурны;
- Контуры диафрагмы и реберно-диафрагмальные синусы без особенностей;
- Сердечная тень обычной конфигурации;
- Мягкие ткани без особенностей.
Вышеприведенная рентгенограмма подпадает под данное описание.
Надеемся, ответили читателям, как читать рентгеновские снимки легких в норме, поэтому переходим к следующему пункту о рентгеновских синдромах при патологии.
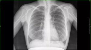
Рентгенограмма легких при пневмонии является классическим проявлением патологии. Приводим пример снимка при воспалительных изменениях легочной ткани (пневмония), чтобы читатели понимали, чем отличается норма от патологии.
Предлагаем ознакомиться с нижеприведенными снимками при пневмонии и в норме. Ответьте на вопрос, где рентгенограмма нормальная, а какая патологическая. Определите, на какой рентгенограмме пневмония.
Цифровой рентген органов грудной клетки №1 Цифровой рентген №2
Подскажем, что затемнение небольшое и локализовано над диафрагмой.
Рентген здоровых легких – классика рентгенологии, так как рентгенология ориентирована на выявление туберкулеза, рака и пневмонии.
На представленной рентгенограмме лёгких визуализируется инфильтративная тень в наддиафрагмальной зоне слева. Корни тяжисты. Реберно-диафрагмальные синусы не завуалированы. Сердечная тень классической конфигурации. Патологии в мягких тканях не прослеживается.
Заключение: Рентген признаки левосторонней сегментарной пневмонии. Рекомендована рентгенография органов грудной клетки в левой боковой проекции для установки локализации затемнения.

Именно в соединительной легочной ткани и происходит отложение копоти. В процессе накопления сажи перегородки становятся ярко выраженными, они будто очерчиваются черным фломастером.
Легочная система здорового и некурящего человека в состоянии самостоятельно справиться с нагрузками в виде поступающей пыли. Реснитчатая эпителиальная ткань регулярно очищает органы дыхания изнутри, «выталкивая» копоть, грязевые и пылевые частички наружу. Человек избавляется от них при помощи влажного откашливания.
Но с курением дела обстоят гораздо серьезнее. Никотиновый дым – это сильно концентрированная смесь, коктейль, состоящий из продуктов сгорания химически активных веществ и смол. Когда тяжелая взвесь проникает в легкие, она травмирует нежные реснички эпителия.
Источник: https://xn--2-gtbru.xn--p1ai/bolezni/kak-vyglyadit-rentgenovskij-snimok-legkih-zdorovogo-cheloveka.html
Поделиться:
