После успешной терапии туберкулеза медикаментами функция легких продолжает ухудшаться. Очаги воспаления уплотняются, пораженные ткани заменяются рубцами и кальцификатами. Метатуберкулезные изменения могут протекать без симптомов или ухудшать дыхательную функцию.
Метатуберкулезные изменения — это термин, описывающий аномалии в структуре органов дыхания после излечения туберкулеза. Фактически, это остаточные проявления инфекции, которые произошли из-за замещения участками фиброза легочной ткани.
Приставка «мета» с латинского означает, что изменения связаны с перенесенной туберкулезной инфекцией. Обычно ее применяют, если выявленные диагностические находки соответствуют нескольким критериям:
- у пациента недавно наблюдались признаки туберкулеза (длительный кашель, кровохарканье, повышение температуры, похудение);
- отсутствуют другие причины для развития пневмофиброза;
- изменения выявлены в верхних долях легких.
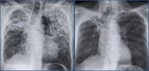
На рентгенограмме метатуберкулезный пневмосклероз проявляется затемнениями или светлыми очагами, которые находятся в бронхолегочной системе, плевре и средостении.
При попадании микобактерий в легкие воздушно-капельным путем в тканях образуются участки воспаления, окруженные соединительной тканью.
Инфекция длительное время находится в окружении иммунных клеток — клеточно-лейкоцитарном инфильтрате. Клетки выпускают цитостатические вещества, вызывающие воспаления.
Остатки бактерий захватываются фагоцитами при благоприятном течении болезни – почти в 80% случаев.
При интенсивном размножении микобактерий образуются токсические продукты распада, количество цитокинов и факторов воспаления провоцирует козеоидный некроз или распад тканей. При затяжном течении болезни участки некроза прорываются и расплавляются, образуя полости – каверны. При заживлении кавернозных очагов происходит фиброзирование – образование соединительной ткани.
По характеру и месту выявления выделяют следующие метатуберкулезные изменения в легких:
- Бронхо-легочная система: стеноз бронхов, свищи, кальцификация, пневмосклероз легкого и его долей, бронхоэктазы, эмфиземы, кисты и санированные каверны.
- Поражения средостения: поражения внутригрудных лимфатических узлов, кальцификация перикарда, рубцевание плевры и перикарда.
- Поражение серозных оболочек (плевры) – развивается вследствие прорыва казеозных очагов, приводит к пневмотораксу, ригидному легкому. Патологии вызваны сохранением спонтанного пневмоторакса на протяжении нескольких месяцев и образованием участков склероза и утолщения плевры.
Метатуберкулезные изменения бывают двух типов:
- локальные – на месте инфильтрации и кавернозных очагов;
- диффузные или рассеянные — вызваны обширным разрастанием фиброзной ткани, спадением легкого.
Фактически, это любые структурные аномалии легких, бронхов, средостения после туберкулеза. Что это такое и как развивается? Можно выделить два типа метатуберкулезных изменений:
- Пневмосклероз, фиброз или цирроз – это разрастание соединительной ткани различной степени. Образуется на местах некроза, каверн, захватывает долю или целое легкое.
- Кальциноз – отложение солей кальция, которые происходит в результате уплотнения очагов творожистого некроза. В местах соединительной ткани нет кровеносных сосудов и снабжения кислородом, потому организм «стягивает» ионы солей для стабилизации структуры.
Фиброз и кальфицикация отражаются на поступлении кислорода в кровь – нарушении газообмена. Гипоксия влияет на работу всего организма и проявляется:
- утомляемостью;
- сонливостью;
- раздражительностью.
В зависимости от тяжести метатуберкулезных осложнений развиваются признаки дыхательной и сердечной недостаточности:
- одышка;
- сухой кашель;
- бледность;
- быстрая утомляемость.
Значительная кальцификация и цирроз провоцируют ателелектаз – слипание легкого. Площадь газообмена снижается, что влечет развитие дыхательной недостаточности и появлению других признаков:
- асимметрия грудной клетки;
- синюшность носогубного треугольника;
- барабанные пальцы (утолщение дистальных фаланг);
- боли в грудной клетке в случае поражения плевры.
Симптомы развиваются постепенно, снижая функциональность дыхательной системы.
При случайном выявлении метатуберкулезных изменений следует исключить наличие других активных очагов с микобактериями. На фазе кальцинации больные не представляют опасности, если пройден курс лечения.
По протоколу фтизиатр направляет пациента на компьютерную томографию, посев на флору, цитологическое исследование, Диаскин-тест, биопсию обнаруженных очагов в тубдиспансере.
Возможно проведение профилактического курса противотуберкулезными препаратами.

При обширных поражениях у пациента появляется дыхательная недостаточность и другие осложнения, которые проявляется следующим образом:
- Одышка, возникающая на вдохе или выдохе;
- Сухой кашель;
- Бледная кожа, синюшный носогубный треугольник и кончики пальцев;
- Пальцы в виде барабанных палочек (с утолщением ногтевых фаланг);
- Быстрая утомляемость, постоянное чувство усталости;
- Асимметрия грудной клетки, уменьшение одной из её половин.
- Боль в грудной клетке (при поражении плевры).
Справочно. Данные симптомы развиваются постепенно. Кашель и одышка могут появиться сразу, как только соединительная ткань начнет сдавливать бронхиальное дерево.
Асимметрия грудной клетки возникает в случае развития обширного ателектаза (спадения легкого или его части). Изменение окраски кожных покровов возникает в том случае, если значительно уменьшатся поверхность газообмена в легких.
Это же служит причиной деформации пальцев рук, но для развития «барабанных палочек» должно пройти несколько лет. Боль говорит только о том, что патологические изменения затронули плевру, в самих легких болевых рецепторов нет.
Метатуберкулез может развиться только у тех, кто перенес туберкулез, потому группы риска для этих заболеваний одинаковые. Прежде всего, это люди со сниженным иммунитетом и лица, которые часто сталкиваются с агрессивными штаммами палочки Коха.
Данные факторы ослабляют организм, способствуют развитию обширных изменений в легких, которые значительно влияют на состояние здоровья даже после стихания активного процесса.
К группам риска развития метатуберкулезных изменений в легких относятся:
- Пациенты с приобретенным или врожденным иммунодефицитом;
- Заключенные тюрем;
- Врачи-фтизиатры;
- Работники судебно-медицинских лабораторий;
- Часто и длительно болеющие дети и взрослые;
- Пациенты с сахарным диабетом;
- Лица, злоупотребляющие алкоголем;
- Люди с нарушением пищевого поведения (анорексия, булимия).
Внимание. Стоит помнить, что туберкулез, как и его последствия, может развиться у любого человека, независимо от социального статуса и рода деятельности.
Метатуберкулезные изменения в легких, как и любые другие остаточные явления, вылечить невозможно. Не существует препаратов, которые могли бы превратить соединительную ткань или соли кальция в нормальное легкое.
Важно. Лечению подлежат только те очаги, которые содержат не только соединительную ткань, но и активные палочки Коха.
При этом пациент может откашливать микобактерии, заражаясь повторно сам и инфицируя окружающих. В данном случае показано хирургическое иссечение всех метатуберкулезных очагов.
Осложненный метатуберкулез лечат симптоматически. Для этого назначают препараты, способствующие улучшению кровоснабжения легких, облегчающие работу сердца, а также отхаркивающие, противокашлевые и обезболивающие лекарственные средства.
Справочно. Основная же терапия должна быть направлена на предупреждение усугубления возникшего состояния, что возможно только при изменении образа жизни.
Осложнения метатуберкулеза могут быть как со стороны легких, так и со стороны сердца. К первой группе относится дыхательная недостаточность, ателектаз (спадение легкого или безвоздушность легочной ткани – опасное заболевание) и эмфизема (гипервоздушность). Ко второй группе относят сердечную недостаточность, повышение давления в малом круге кровообращения и приобретенные пороки сердца.
Для того, чтобы предупредить развитие этих состояний, необходимо придерживаться рекомендаций по изменению образа жизни. Чаще всего пациенту дают следующие советы:
- Отказ от курения и алкоголя;
- Ежедневные прогулки на свежем воздухе;
- Соблюдение режима труда и отдыха, сна и бодрствования;
- Ежедневное выполнение гимнастических упражнений;
- Освоение специального дыхания йогов;
- Рациональное питание, повышение употребления белков и витаминов;
- Лечение сопутствующей патологии;
- Прохождение курсов санаторно-курортного лечения.
Поделиться:
