Пн-пт: 09:00—21:00; сб-вс: 10:00—19:00
whatsapp telegram vkontakte email

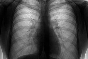
Флюорография лёгких фото

image

Пневмония – воспаление легких, которое может возникать в любом возрасте, но чаще у детей. Она разделяется по этиологии (вызвавшим ее возбудителям), степени тяжести, локализации воспаления (очаговая, крупозная, сегментарная, прикорневая и пр.). Фото снимков при пневмонии можно увидеть ниже.

Как и любое заболевание, пневмония возникает на основе определенных предпосылок. Воспаление может развиться при:

  • поражении легких пневмококком;
  • развитии других кокковых инфекций;
  • переохлаждении и осложнениях ОРВИ (как результат неправильного лечения);
  • как осложнение при детских инфекциях – корь, ветрянка, краснуха;
  • снижении иммунитета;
  • состоянии иммунодефицита при других заболеваниях.

Пневмония проявляется такими признаками:

  • слабость, гипергидроз;
  • повышенная утомляемость и головные боли;
  • сниженный аппетит и миалгии;
  • боль в груди;
  • одышка в покое и учащение сердцебиения.

Помимо этих общих проявлений, клиника зависит от тяжести поражения. Это может проявляться в виде высокой температурой, смены сухого кашля влажным с выделением гнойной мокроты, бледности кожных покровов и синюшности носогубного треугольника.

Лечение при пневмонии обязательно, иначе все может закончиться летально. Особенно тяжело пневмония протекает у малышей. Вот, почему важное значение имеет своевременная постановка диагноза.

Определить пневмонию можно с помощью данных аускультации и клиники; анализа крови (картина лейкоцитоза), инструментального исследования — флюорографии (ФЛГ) или рентгена легких – снимок легких при пневмонии.

Конечно, рентген можно и не сделать. Но тогда врачу трудно будет сориентироваться на предмет того, что же по факту происходит в легких. Следовательно, и борьба с пневмонией может быть неэффективной. Поэтому при легочных патологиях рентген — процедура крайне важная.

ФЛГ проводится ежегодно в профилактических целях, при диспансеризации.

Рентген — применяется уже для полной диагностики и подтверждения данных от ФЛГ. Нередки случаи, когда назначается повтор рентгена.

Повторный снимок пневмонии делают для выявления интенсивности меняющихся теней в ходе лечения, для дифференцировки вида пневмонии – степени поражения сегментов или долей, а также для контроля результативности лечения.

Противопоказания должны быть минимальными. Особенно это важно при беременности.

Если польза рентгенографии перевешивает, ее проводят, но с соблюдением всех предосторожностей: используют свинцовые фартуки, количество рентген-лучей дается минимальное, число исследований прекращается.

Также он противопоказан:

  • детям до 14-16 лет;
  • при тяжелом состоянии больного;
  • при кровотечениях.

В основе метода лежит свойство рентгеновского луча проходить через непрозрачные ткани, сохраняя при этом свою активность. Это касается и флюорографии органов грудной клетки, рентгена, рентгеноскопии. Методы отличаются только дозой облучения и способом получения картинки.

Рентгенограмма – это негатив, поэтому затемнения на нем имеют белый цвет и наоборот. Человеческий организм состоит из разных тканей и у всех них разная степень поглощения рентгеновских лучей.

На снимке легких при пневмонии получается, что негатив окрашивает самые плотные части в белый цвет, и кости в т.ч., пустые части – делает черными, органы – дают серые цвета разных оттенков.

https://youtube.com/watch?v=uuUMNSa25q8

При этом расширяются межрёберные промежутки, диафрагма опускается, купола сглаживаются, рёберно-диафрагмальный угол из острого превращается в прямой. Клинически, при увеличении объёма ткани, наблюдаются признаки гипоксии и недостаточности вентиляции. Ткань лёгкого теряет свою функцию.

Синдром уплотнения. Очаг низкой и средней плотности. Туберкулез.

Воспалительные заболевания часто дифференцируют с туберкулёзом лёгких. Туберкулома чаще локализуется на верхушках лёгочных полей. Тень округлая, часто с просветлением в центре — очаг деструкции. Наблюдается расширение корней лёгких.

Пневмония или воспаление хорошо визуализируется на рентгене и выглядит как инфильтративная тень на фоне усиления лёгочного рисунка, вокруг очага часто бывают просветления — локальная компенсаторная эмфизема.

Рентгенологическая диагностика — «золотой стандарт» в диагностике заболеваний органов дыхания. Благодаря воздушности ткани лёгких рентгенография хорошо визуализирует воспалительные изменения, обструкцию бронхов и разрастание патологического субстрата онкологии или туберкуломы. Простота и дешевизна методики позволяет использовать её для контроля динамики в течение терапии.

Источник: https://osnimke.ru/organy-grudnoj-kletki/rasshifrovka-rentgena-legkih.html

Поделиться:

Ссылка на основную публикацию
Похожее