Пн-пт: 09:00—21:00; сб-вс: 10:00—19:00
whatsapp telegram vkontakte email

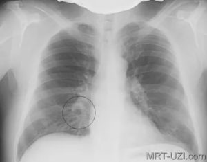
Рентген лёгких при пневмонии

image

Пневмония на рентгене дифференцируется по значительному числу параметров и признаков. Большое значение здесь имеет объём воспаления. Болезнь может затрагивать весь орган, половину или только малую часть.

Рентген лёгких при воспалительном процессе (пневмонии) эффективен настолько, насколько вовремя он был выполнен. Процедура должна назначаться исключительно при наличии определённых симптомов.

При пневмонии доктор детально изучает полученные снимки. Важно получить полную информацию. От этого напрямую зависит правильный выбор медикаментов и их дозировка.

Снимок при пневмонии расшифровывается по нескольким критериям: просветления, затемнения, изменение корней и рисунка органа. Обнаруживаемые пятна делятся на несколько групп:

  • большие (тотальные, более 7 мм);
  • средние (не более 7 мм);
  • мелкие (около 3 мм).

Диагностируются единичные либо обширные поражения. Изменения указывают на такие формы болезни: очаговая, крупозная, казеозная.

Очаговая пневмония лучше всего видна на рентген снимке при разгаре патологии. Происходит снижение воздушности лёгочной ткани. По этой причине обнаруживаются тёмные пятна.

Сначала инфильтраты видны как «дымка». Затем формируется классический пневмонический очаг.

Крупозная пневмония на рентген снимке прослеживается в качестве большого среднеинтенсивного затемнения. Патологический процесс заметен на одной или обоих долях.

Обнаруживаются тотальные либо субтотальные тени. Купола диафрагмы поражаются. Прослеживается тяжистость корней.

Казеозная форма патологии является наиболее сложной. При рентгене обнаруживаются грубые и распространённые изменения. Затемнения присутствуют на большей части доли органа.

По мере нарастающего развития болезни появляются участки просветления. По форме и размерам они различны.

Первые признаки пневмонии у взрослых и детей на рентгеновском снимке видны практически сразу после заражения, но оценить точные размеры патологического очага ещё не представляется возможным. Вот наиболее частые признаки:

  • наличие уровня плевральной полости;
  • существенная деформация лёгочного рисунка на определённом участке;
  • непрозрачность тканей (сплошное затуманивание лёгочного поля);
  • затуманивание нескольких либо одной части;
  • пятна в одном сегменте.

Внимание! Указанные выше критерии оценки могут свидетельствовать и о наличии иных заболеваний, поэтому исследование в подавляющем большинстве случаев проводится несколько раз с определённой периодичностью.

Рентгенодиагностика пневмоний проводится и с той целью, чтобы предотвратить серьёзные осложнения. При любом виде данного заболевания пациент может столкнуться со следующими проблемами:

  • острая дыхательная недостаточность;
  • обструктивный синдром;
  • инфекционно-токсический шок;
  • острая сердечно-лёгочная недостаточность;
  • анемия;
  • абсцесс;
  • миокардит;
  • менингит;
  • гломерулонефрит;
  • психозы и пр.

К примеру, абсцесс на снимках просматривается как наличие полостей с нечётким округлым контуром. Также можно просматривать несколько или один очаг воспаления.

Непосредственно на этапе выздоровления пневмония на рентгенограмме выглядит так: менее интенсивные пятна, расширенный корень, уменьшенные размеры затенённого очага. Лёгочный рисунок довольно богатый.

Даже после полного излечения на протяжении нескольких месяцев корень будет расширен. Затем лёгочная ткань начнёт восстанавливаться. Нередко формируются спайки либо рубцы, что приводит к осложнению дыхания. Подобные изменения обнаруживаются на фото. Также при проведении контрольного исследования видно следующее:

  • отсутствуют затемнённые участки;
  • средостение имеет обычные размеры;
  • наблюдается структурность корней.

Атипичная пневмония на рентгене проявляется в зависимости от вида возбудителя. Причиной возникновения такой формы может являться хламидия, микоплазма, клебсиелла. Обычно пациенты сталкиваются с ощущением нехватки воздуха. Кашель незначительный, температура тела не повышается. Но как выглядит этот вид на фото?

Нередко обнаруживается двустороннее очаговое поражение. Также доктор может обнаружить следующее:

  • округлые затемнения, которые занимают часть органа;
  • бронхиальный и сосудистый рисунок резко деформирован;
  • изменена сетчатая структура;
  • «размытые» ткани, неоднородные слабые или средние затемнения.

При пневмонии у ребёнка рентгеновские снимки отличны от изображений заболевания у взрослых. У маленьких пациентов реактивность иммунитета сильно повышена. Даже небольшой инфильтрат нередко приводит к крупозному воспалению — происходит поражение обоих лёгких.

Внимание! Чтобы исключить летальный исход, необходимо своевременно провести диагностику, выявить очаг патологии и назначить адекватную терапию.

https://youtube.com/watch?v=MCvf-qaVIXc

Наиболее характерные признаки заболевания у ребенка:

  • очаговые тени небольших размеров (не более 2 мм в диаметре);
  • локализация воспаления преимущественно в нижних отделах;
  • высокая плотность затемнения при прогрессировании заболевания;
  • возможно уплотнение и увеличение близко расположенных лимфоузлов (средостения);
  • усиление легочного сосудистого рисунка, его деформация;
  • изменение структуры и размера корня легкого на стороне поражения.

После клинического выздоровления наиболее долго сохраняются изменения сосудистого рисунка и корня легкого.

Необходимо наблюдать за состоянием ребенка, направлять лечебные мероприятия на полное восстановление не только пораженной легочной ткани, а и сопутствующего локального бронхита, признаки которого сохраняются на рентгене длительное время.

к оглавлению ↑

Атипичная пневмония отличается не только наличием атипичных возбудителей (клебсиелла, микоплазма, хламидия), а и особенностями проявлений. В первую очередь, это преобладание признаков дыхательной недостаточности (чувства нехватки воздуха) над симптомами воспаления (невысокая температура, незначительный кашель).

Рентгенологическая картина зависит от возбудителя. Основные признаки:

  • слабой или средней интенсивности неоднородное локальное затемнение ткани легкого с наличием «размытых» теней;
  • резкая деформация сосудистого и бронхиального рисунка, сетчатая структура изменений;
  • возможно двустороннее очаговое поражение;
  • вероятны округлые затемнения, занимающие долю легкого, с наличием плеврального выпота.

При своевременной диагностике и адекватном лечении эффективность терапии высокая. Однако на рентгене изменения могут сохраняться и после 4 недель.

В ряде случаев ограниченное уплотнение тканей плевры и легких (исход воспаления) остается необратимым.

Таким образом, использование рентгенографии при пневмонии помогает своевременно установить диагноз, определить форму заболевания. Это позволяет дифференцированно подобрать терапию, избежать развития осложнений и предотвратить угрозу не только здоровью, а и жизни пациента.

Статья помогла вам

Дайте нам об этом знать — поставьте оценку

Источник: https://gorclinbol.ru/bronhit/pnevmoniya-na-rentgenovskih-snimkah-priznaki-i-vidy-vospaleniya.html

Поделиться:

Ссылка на основную публикацию
Похожее