Пн-пт: 09:00—21:00; сб-вс: 10:00—19:00
whatsapp telegram vkontakte email

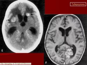
Туберкулез мозговых оболочек и цнс

image

Туберкулез нервной системы является одним из осложнений туберкулезной инфекции. Клинические симптомы, лабораторные и нейровизуальные признаки патологии неспецифичны. Гематогенное, лимфогенное или периневральное распространение микобактерий главная причина развития заболевания ЦНС.

Туберкулез центральной нервной системы (ТБ) – наиболее опасная форма внелегочной формы болезни, может проявляться в виде:

Клиническое начало болезни может быть острым, но чаще происходит постепенное прогрессирование патологии.

Первичные симптомы:

  • Лихорадка.
  • Чрезмерное потоотделение.
  • Апатия.
  • Рвота.
  • Судороги.
  • Головная боль.
  • Проблемы со сном.

Признаки запущенной формы поражения нервной системы при туберкулезе:

  • Снижение концентрации сахара.
  • Светобоязнь.
  • Плеоцитоз.
  • Очаговый неврологический дефицит.
  • Паралич лица.
  • Гемиплегия.
  • Отсутствие речевой деятельности.
  • Дизартрия и парез языка.
  • Хориоретинит.

Возможны нарушения зрения, возникновение эпилептических припадков. Если воспаление достигает мозга, усиливается неврологический дефицит, такой как паралич.

Менингит ТБ – туберкулез мозговых оболочек возникает как вторичное заболевание на фоне основной проблемы. Встречается чаще у больных с ослабленным иммунитетом. В группе риска:

  • Лица, принимающие Кортизон.
  • Диабетики.
  • Инфицированные гриппом.
  • Хронические алкоголики.

Бактерия проникает в мозг через кровь или лимфатическую систему. Обструкция потока ЦНС приводит к повышению внутричерепного давления, гидроцефалии и снижению уровня сознания.

Неврологические проявления болезни многочисленны, их характер врач описывает по патогенезу.

Туберкулезный менингит редко встречается в острой форме. Воспалительный процесс начинается постепенно и может длиться от 3-5 дней до 3-6 недель бессимптомно. Начальная стадия характеризуется:

  • Плохой работоспособностью.
  • Потерей аппетита и веса.
  • Головной болью.
  • Усталостью.
  • Изменениями личности.

Признаки патологии мозговых оболочек увеличиваются по мере прогрессирования болезни. Неправильный диагноз и лечение приведет к повреждению черепных нервов, нарушениям сознания. Период клинических проявлений с остаточными явлениями (гидроцефалией, эпилептическими припадками) составляет 6-8 месяцев.

Туберкулез ЦНС редко встречается в форме туберкулезного энцефалита, наблюдается исключительно у детей с легочной формой патологии. На риск распространения инфекции в ЦНС после воздействия ТБ влияют возраст ребенка и иммунный статус, включая вакцинацию БЦЖ.

Важная информация:   Профилактика туберкулеза легких при ВИЧ инфекции

Характеризуется менингоэнцефалит отеком мозга, иногда с признаками, сходными с острым диссеминированным энцефаломиелитом. Проявляется различными симптомами начиная от очаговых неврологических нарушений до судорог и расстройствами сознания.

Это конгломератные казеозные очаги в веществе головного мозга, которые развиваются из глубоких бугорков, приобретенных во время недавнего или отдаленного периода бактериемии. Расположенные в центре активные поражения могут достигать больших размеров без появления признаков менингеального воспаления.

Воспалительный процесс образует области церебрита (инфильтрация мозговых тканей) или формирование абсцесса. Более типичное течение болезни – слияние казеозных очагов и фиброзной инкапсуляции (ТБ). На ранней стадии поражения односторонние, бесследно исчезают при медикаментозной терапии.

Нейротуберкулез развивается в течение нескольких месяцев, с небольшими побочными эффектами. Развитие резистентности к патогенам усложняет терапию. Поражение нервной системы при туберкулезе – потенциально разрушительное заболевание и может потребовать неотложной медикаментозной или хирургической терапии.

Медикаментозное лечение туберкулеза ЦНС остается неизменным на протяжении десятилетий. Врачи назначают препарат Изониазид. Существует 2 метода поступления лекарства в организм больного:

Во время лечения данным средством введение пиридоксина (витамина B6) необходимо для предотвращения гиповитаминоза. Пациентам, которые без сознания назначается введение хлоркальциевой соли стрептомицина с помощью спинномозговой пункции. Введение кортикостероидов независимо от возраста пациента и тяжести болезни снижает смертность.

Показания к операции часто связаны с опасностью для жизни или когда точная этиология неврологического заболевания сначала неясна. Внешний дренаж предпочтительнее в качестве скорой помощи на запущенных стадиях. Восстановление после нейрохирургического вмешательства длительное и болезненное.

Ранняя диагностика, немедленное начало противотуберкулезной терапии, клиническая стадия являются важными факторами выздоровления. При базилярной форме менингита отмечается удовлетворительный прогноз на полное восстановление больного. Без адекватного лечения пациенты умирают в результате повышения внутричерепного давления.

Источник: https://ProTuberkulez.info/vidy/nervnoy-sistemy.html

image

Туберкулез является специфическим инфекционным заболеванием, при котором потенциальной мишенью может стать абсолютно любая ткань или орган. Туберкулез нервной системы — одно из наиболее опасных и тяжелых видов патологий.

Туберкулез с вовлечением нервной системы (мозговых оболочек, ткани мозга) — вторичный процесс на фоне легочной (около 70%) или внелегочной (20%) форм. Первичное поражение нервной системы МБТ достаточно редкое явление.

При инфицировании нервной системы микобактериями развивается туберкулезный менингит. Реже единичные туберкулемы локализуются в головном мозге.

Предрасполагающим фактором может стать:

  • плохое питание, голод;
  • частые переохлаждения;
  • ослабленный иммунитет;
  • несвоевременное лечение различных болезней;
  • антисанитарные условия проживания;
  • вредные условия производства и пр.

Чтобы не стать жертвой туберкулеза центральной нервной системы, нужно по возможности исключить все риски и соблюдать технику безопасности на производстве.

При туберкулезе ЦНС сначала имеют место:

  • головные боли;
  • чрезмерное потоотделение;
  • плохой аппетит;
  • ослабленность;
  • быстрая утомляемость;
  • апатия;
  • плохая работоспособность;
  • нервозность;
  • незначительное повышение температуры;
  • плохой сон;
  • несобранность.

Потом начинаются рвотные позывы, беспричинная тошнота. При осмотре врач находит такие синдромы, как:

  • Бехтерева;
  • Кернига;
  • Брузинского.

Мышцы на затылке становятся ригидными. Во время сна у человека преобладает определенная поза (голова отклонена назад, ноги согнуты у живота, сам он втянут).

В дальнейшем может возникнуть:

  • косоглазие;
  • паралич лица, который приводит к ассиметрии;
  • парез языка;
  • хориоретинит;
  • афазия;
  • гемиплегия;
  • гемипарез.

Многого можно избежать, если своевременно обратиться в больницу и выявить туберкулез ЦНС.

Для выявления туберкулеза нервной системы, нужна дифференцированная диагностика. Сначала пациента осматривает врач в кабинете. Тут осуществляется сбор анамнеза и изучение истории болезни. Немаловажен наследственный и другие факторы.

После выписывается направление на туберкулиновый тест. Его делают в тубдиспансере (Диаскинтест или Манту). При наличии микобактерии в организме результат будет положительный. Чтобы выявить локализацию, стадию и форму туберкулеза, следует идти на:

  • ультразвуковую диагностику;
  • компьютерную томографию и магниторезонансную;
  • рентгенографию;
  • ПЦР анализы;
  • аудиометрию;
  • общие анализы мочи, крови;
  • коагулограмму;
  • микробиологическое исследование и пр.

Целесообразность того или иного метода определяет специалист. Некоторые исследования проводят комплексно. На основе полученных результатов выносится вердикт. Чтобы изучить цереброспинальную жидкость, делается спинномозговая пункция.

Поделиться:

Ссылка на основную публикацию
Похожее