Пн-пт: 09:00—21:00; сб-вс: 10:00—19:00
whatsapp telegram vkontakte email

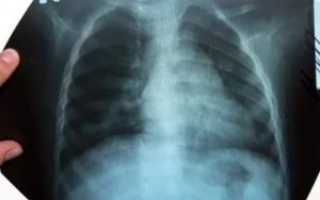
Снимок при пневмонии у ребенка

image

Пневмония у детей представляет собой острый воспалительный процесс инфекционного типа. Заболевание поражает верхние и нижние отделы легочной системы. Основными признаками пневмонии у детей считают сильный кашель, высокую температуру и интоксикацию организма.

Несвоевременно начатое лечение может стать причиной летального исхода. Длительное течение болезни сопровождается отеком легких и удушью во сне.

Заболевание широко распространено среди пациентов в возрасте от 1 до 5 лет. Осложнения провоцируют вирусы гриппа. Эти патогенные микроорганизмы при попадании во внутрь организма начинают мутировать, тем самым приводя к быстрой интоксикации.

Главный недостаток данной патологии заключается в возможных осложнениях, которые приводят к хроническим бронхитам и бронхиальной астме. Данные патологии приводят к инвалидности.

Выделяют три классификации пневмонии. Каждая из них отличается по способу заражения:

  • внутрибольничная. Она проявляется в результате посещения стационарных учреждений.Клиническая пневмония у детей проявляется уже на следующий день после визита в больницу или поликлинику;
  • внутриутробная. Данная патология связана с внутриутробным инфицированием плода. Заболевание перерастает в хроническую форму и проявляется при каждом снижении иммунитета;
  • домашняя. Подобный способ инфицирования переходит от взрослых, которые были заражены вирусной формой заболевания.

По месту локализации она делится на следующие типы:

Очаговая. Она располагается по всей поверхности легких небольшими очагами размер которых составляет от 0,5 до 1,5 мм. Запущенная форма сопровождается в перерождение отдельных очагов в один большой участок. Он может занимать 1⁄2 часть доли легкого.

Крупозного. На легких появляются точечные очаги минимального диаметра. Они имеют неоднородные границы темного оттенка. Чаще всего поражается правая сторона.

Правосторонняя пневмония приводит к удушью.

Сегментальная пневмония поражает большую часть легких. Очаг может быть расположен на одном или обоих легких. Болезнь быстро прогрессирует и приводит к сильному отеку.

Интерстициальная. Этот вид связан с грибковой или вирусной средой. Пневмония проявляется в ходе запущенной формы болезни. Она перерождается в хронический вид патологии.

Выделяют ряд симптомов, которые указывают на пневмонию у детей. К ним относят:

  • бледность кожных покровов;
  • посинение губ и слизистых оболочек;
  • высокая температура тела;
  • недомогание;
  • общая слабость;
  • полное отсутствие аппетита;
  • одышка;
  • затрудненное дыхание;
  • хрипы в легких.

Какая температура при пневмонии у детей? В большинстве случаев отмечают резкое повышение до 39 градусов. Её практически невозможно сбить при помощи медицинских препаратов. Подобное явление проявляется в течение 5 дней после перенесенного ОРВИ.

Помимо этого, у пациента присутствует сильная боль в районе грудины, которая отдает в подреберье. При покашливании присутствуют сильные хрипы. Дыхание становится тяжелым. Больной постоянно жалуется головную боль. Это указывает на интоксикацию организма.

Как лечить пневмонию у детей? Для постановки правильного диагноза, рекомендуется пройти медицинское обследование. Оно включает в себя:

  • сдача анализа крови и мочи;
  • мазок на патогенную микрофлору;
  • рентгеновский снимок.

По результатам анализов и симптомов пневмонии у детей врач подбирает соответствующее лечение. Оно включает в себя:

Курс антибиотиков или противовирусных препаратов. Подбор лекарственных средств осуществляется исходя из результатов обследования мазка из слизистых оболочек горла. Для каждого пациента подбирается определенная дозировка исходя из тяжести течения недуга и его проявления.

Ингаляции. Они способствуют быстрому выведению патогенной микрофлоры за пределы организма. Для этого используют солевые растворы и разжижающие мокроту лекарственные растворы.

Физиопроцедуры. Они усиливают кровоток и помогают восстановить поврежденные альвеолы в легких. Массаж.

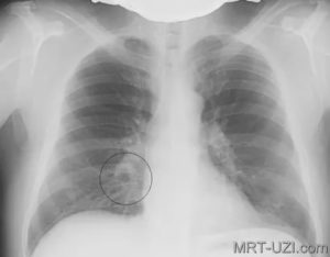
Рентген грудной клетки у детей. Очаговая пневмония.Рентген грудной клетки у детей. Очаговая пневмония.

Снимок при очаговой пневмонии

Крупозная пневмония – гиперергическое воспаление, которое проходит следующие стадии: прилив, красное и серое опеченение и период разрешения.

На снимках видно, что воспалительный процесс локализуется лобарно или сублобарно (то есть поражается доля легкого) с вовлечением плевры. Легочный рисунок при этом изменяется, а легочные корни расширяются. Видны застои жидкости в плевральной полости. С течением болезни тени на снимках становятся темнее.

В целом, рентгенографические исследования дают возможность вовремя диагностировать пневмонию как у детей, так и у взрослых. Современная аппаратура и приборы дают точную проекцию органов дыхательной системы, благодаря чему можно точно определить:

  • форму заболевания;
  • локализацию очагов воспаления;
  • интенсивность поражения.

Рентген-исследования во время лечения помогут увидеть динамику и процесс выздоровления. Применение других методов диагностики увеличивает возможность получить комплексную и более детальную картину заболевания, что повышает эффективность и точность назначенного лечения.

Источник: https://bronhus.com/zabolevaniya/pnevmoniya/deti/diagnostika-d/vidy-rentgena-snimkov.html

Поделиться:

Ссылка на основную публикацию
Похожее