Пн-пт: 09:00—21:00; сб-вс: 10:00—19:00
whatsapp telegram vkontakte email

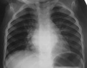
Как выглядит бронхит на рентгеновском снимке

image

Рентгенограмма – это дополнительный способ обследовать органы системы дыхания. Она даёт возможность сделать диагностику или исключить возможность пневмонии, обструкции, туберкулёза, онкологии. Излучённые лучи от рентгенаппарата не воспроизводят и не воссоздают изображение бронх на кадре.

На снимке можно различить всего лишь побочные признаки заболевания. Диагностировать воспаление бронхов по рентгенограмме нельзя. Если только отсутствуют патологии лёгочного заболевания, то признаки относят к бронхиальному недугу. На рентгеноскопии снимочные кадры показывают любой орган разнообразно.

Рентген лёгких показывает пятна разнообразной яркости, если существует отклонение. Цвет пятен на лёгких тёмный, это свидетельствует о воспалительном процессе и отёчности.

В качестве профилактики используют флюорографию, она не отображает целостную картину болезни, не несёт опасности от полученного облучения.

Бронхит на рентгене не виден. Это связано с тем, что проникновение лучей через стенку и воздушное наполнение пазух бронх происходит свободно. В случае воспалительного процесса бронх на негативе видны тени в форме колец, значит у пациента протекает хронический процесс.

Рентген при астме для подтверждения диагноза делается в любом случае. Без рентгенограммы нельзя установить полное представление о болезни, рентгеновский метод не даёт результат на сто процентов.

Бронхитная болезнь на снимочном кадре представляет собой:

  1. Изменение лёгочного рисунка &#8212, капилляры мелкой формы, слегка заметны.
  2. Очаговый спад ткани.
  3. Чёткость корневой системы лёгкого теряется, заметно его увеличение.
  4. Утолщённость стенок бронх.
  5. Тканевой участок можно заметить без сосудов.
  6. Инфильтраты чётко проглядываются.
  7. Изображения контуров нечёткие.
  8. Нижний лёгочный канал купируется пузырьками светлого оттенка.

Врач рентгенолог описывает присутствие отёчности лёгочного органа, наличие рубцовой ткани или деформацию бронхов. Бронхит на снимке рентгена не показывается, а только просматривается диффузионная изменчивость тканей, раскрываются форменные отклонения и наличие содержимого в органах дыхания.

Запущенность воспаления бронхитного канала приводит к обструкции. Снимок во время протекания недуга бронх показывает деформацию в бронхитном канале и увеличение соединительных тканей.

При бронхите хронической формы на рентгене хорошо отслеживаются патологические изменения, рисунок отображается в виде сетки.

Косвенные признаки бронхита на рентгене считают:

  1. Древообразный рисунок указывает на лёгочные изменения в сосудах.
  2. Корневая сгущенность, свидетельствует о разрастании соединительных тканей.
  3. Наблюдается в некоторых участках спад тканей лёгкого.
  4. Снимок показывает в зонах воздушное увеличение и понижение, между собой чередование.

Особый акцент уделяется изображению корневой части лёгочных органов во время недуга бронх.

Бронхиальный недуг характерен искажением лёгочной корневой части, на рентгенограмме хорошо видны отклонения, разрастание волокнистых тканей, а также снижение корневой устойчивости.

Корневая граница на негативе расплывчатая, стеночные перегородки бронх утолщены, хорошо прослеживаются искажения изменений. Врач установит диагноз увидев рентгеновский снимок и вышеприведённые факты удостоверят его, что у пациента воспаление бронхов.

Рентген при бронхите даёт возможность заметить обструктивную форму. Этот признак очень опасен, характеризуется закупоркой органов дыхания и сбоем вентиляции лёгочного канала. Обструктивный бронхит включает следующие характеристики:

  • наблюдается сдвиг и припухлость диафрагмы,
  • расположение сердца в вертикальной плоскости,
  • лёгочная ткань прозрачная, воздуха не замечается,
  • осложняется кровоснабжение, вызывая закупорку в лёгочном канале,
  • на рисунке виден очаг, искревлённость нижнего сегмента лёгкого,
  • очерки расплывчаты, бронхиальное дерево хорошо заметно на рисунке.

На рентгенограмме можно обнаружить признаки бронхита, что позволяет определить острую форму бронхитной болезни, просвечивание показывает целостную картину бронхиального дерева   в полном объёме. Чтобы определить вид бронхиального воспаления, врач направляет больного на сдачу анализов, рентгеноскопию, для исследования симптом и признаков при заболевании.

Простая форма бронхита без осложнений не будет видна на рентгене. Для того, чтобы отправить больного на рентгенограмму нужны весомые аргументы:

  1. Повышенный подъём температуры, обусловленный ознобом и удушьем.
  2. Отклонение в составе крови.
  3. Лечебная терапия, не принёсшая результата.
  4. Проверка после терапии остаточных процессов воспаления.

При возникновении острой необходимости в рентгеновском снимке, после улучшения состояния пациента эту процедуру осуществляют.

https://youtube.com/watch?v=MCvf-qaVIXc

В особых случаях назначают обследование грудной клетки с обеих сторон. Диагностика проводится поочередно для одного и того же органа с пятидневным интервалом.

Соответственно, снимки показывают целый ряд важных косвенных симптомов, по которым удается правильно определить диагноз.

Несмотря на то, что данная мера диагностики считается вспомогательной, в определенных ситуациях она является незаменимой.

Это современный метод обследования, при котором используется контраст. Он позволяет получить более информативную расшифровку относительно строения органов дыхательной системы и наличия каких-то определенных новообразований.

Такая методика признана одной из наиболее информативных. Однако и на этом диагностика патологии не заканчивается. Совместно с данной методикой проводится и бронхоскопия. Но назначаются мероприятия в особо тяжелых редких случаях, когда действительно есть показания. Это обусловлено тем, что человек ощущает сильный дискомфорт в процессе проведения манипуляции.

Выполняется данная мера под местным наркозом. Пациенту вводят теплое контрастное вещество.

Квалифицированные специалисты по полученным рентгеновским снимкам могут сделать следующие выводы:

  • наблюдается усиление легочного рисунка, что характерно и для бронхита, и для воспаления легких. Данное явление не должно вызывать волнений, так как после выздоровления рисунок тут же исчезает;
  • наблюдается сгущение и видоизменение корней. Ситуация может указывать на наличие бронхита, вероятно, деструктивного;
  • тяжистые корни свидетельствуют о наличии заболевания, что характерно для курильщиков;
  • присутствует фиброзная ткань, что указывает на перенесенный недуг. Сюда можно отнести и хирургическую операцию, и острые воспаления;
  • присутствуют очаговые тени. Наблюдается при воспалении легких и туберкулезе;
  • есть кальцинаты. Это обозначает наличие тени округлой формы, которые напоминают тени костей. Данным способом организм пытается восполнить участки воспаления, чужеродных агентов, глистных поражений;
  • присутствуют спайки или синус, что говорит о наличии перенесенного недуга и не должно настораживать;
  • наблюдается деформация диафрагмы. Может быть признаком плеврита, ожирения и др;
  • тени увеличились либо сменили положение. Говорит о неравномерном накоплении воздуха в легких и на наличие возможных новообразований. Требует проведения дополнительных мер.

Можно ли увидеть патологические изменения самому на снимке? Этого категорически делать нельзя. Установить правильный диагноз и назначить эффективное лечение способен только грамотный специалист.

К сожалению, бронхит у детей – довольно распространенное явление. Особенно это актуально в холодное время года. Болезнь в острой стадии дает о себе знать увеличением температуры, сильным кашлем, общим недомоганием.

Чтобы подобрать эффективную терапевтическую тактику, педиатры обычно назначают специфические диагностические мероприятия.

На снимке при наличии заболевания, будет вырисовываться легочный узор с акцентом на корни. При наличии обструкции картина будет выглядеть несколько иначе:

  • будет снижена структура легких;
  • нечетко прорисованы контуры;
  • утолщение стенок контуров;
  • общая расплывчатость.

В целом, если говорить о надобности рентгена, то эта методика назначается далеко не всегда. Только доктор решает в индивидуальном порядке, какие требуются меры диагностики конкретно для отдельного человека. Нередко подобная мера используется с целью эффективного обследования органов дыхания и помогает подобрать эффективную тактику терапии.

Автор публикации: Анна Умерова

Источник: https://delhimodi.com/bronhit/kak-vyglyadit-bronhit-na-rentgenovskom-snimke.html

Поделиться:

Ссылка на основную публикацию
Похожее