Пн-пт: 09:00—21:00; сб-вс: 10:00—19:00
whatsapp telegram vkontakte email

Катар патанатомия

image

При постановке диагноза в больнице многие люди могли слышать такие странные слова, как «катарное воспаление», «катар», «гипесекреция» и прочее. Но что это такое? Чем эта болезнь характеризуется и стоит ли о ней волноваться? Разберемся подробнее.

Катаральное воспаление — этот процесс, происходящий в слизистых оболочках. Для него характерно обильное выделение экссудата, вызываемое гиперсекрецией слизистых желез. Чаще бывает острым, в хронической форме встречается редко.

Экссудат — это мутная жидкость, выделяющаяся из кровеносных сосудов при воспалении. Он может быть серозным, слизистым, гнойным или геморрагическим с примешиванием слущенных клеток эпителия.

Гиперсекреция — это усиленная выработка секрета какой-либо железой. В нашем случае — слизистой.

Чаще всего причинами возникновения катарального воспаления является механическое воздействие на слизистую оболочку (например: трение, давление), раздражение химическими веществами (химикаты, газы), занесенная инфекция (вирусная, бактериальная), инфекционно-аллергическая природа, аутоинтоксикация (колит).

Форма катарального воспаления напрямую зависит от вида экссудата. Как и говорилось выше, видов у этой жидкости четыре, значит и форм болезни тоже четыре:

  • слизистый катар;
  • серозный;
  • гнойный;
  • геморрагический.

Однако в чистом виде они встречаются реже, чем в смешанном. Они могут переходить друг в друга, например, серозная может легко перейти в более тяжелую, гнойную форму.

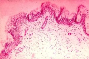
Данное катаральное воспаление характеризуется слизистой дистрофией и обильным слущивании клеток эпителия. Последний может некротизироваться, если процесс резко выражен. Увеличено количество бокаловидных клеток, они имеют свойство набухать и остлаиваться. Слизистая оболочка полнокровна. Она тусклая, набухшая, иногда с кровоизлияниями.

Это катаральное воспаление образует бесцветную или мутноватую водянистую жидкость (или экссудат). Слизистая оболочка набухшая, тусклая. Дистрофия эпителиальных клеток, но не слишком интенсивная. Характерны полнокровие и отек.

Гнойно-катаральное воспаление характеризуется набухшими, тусклыми, покрытыми гнойным экссудатом слизистыми оболочками. Могут наблюдаться кровоизлияние и эрозия.

Этот вид воспаления характеризуется набухшими, толстыми, пропитанными кровью слизистыми оболочками с кровянистым экссудатом. В кишечнике слизистая оболочка имеет грязно-серый цвет. В экссудате преобладают эритроциты. Экссудат располагается как на поверхности, так и в самой оболочке. Сосуды полнокровны. Дистрофические изменения и некрозы в эпителии.

Помимо четырех видов, разобранных выше, болезнь имеет острую и хроническую формы.

Острое катаральное воспаление характерно для некоторых инфекционных заболеваний. Например, верх. дыхательных путей.

Хроническое катаральное воспаление характерно для любых заболеваний, даже тех, которые не являются инфекционными. Оно может сопровождаться такими симптомами как:

  • атрофия;
  • гипертрофия слизистой оболочки.

Многие известные нам болезни появились именно из-за заболевания катаром. Такими заболеваниями являются:

  • конъюктивит (слизистая оболочка глаза);
  • ринит (слизистая носа);
  • фарингит (слизистая горла);
  • тонзиллит (миндалины);
  • ларингит (гортань);
  • трахеит (трахея);
  • бронхит (бронхиальное дерево в легких);
  • пневмония (легочная ткань).

Катаральные болезни могут являться началом различных редких лихорадок, детских респираторных заболеваний (кори, краснухи и т. д), сезонного гриппа, менингита, гепатита и энцефалита.

Диагностика основывается на анализе жизни больных, клинической картине заболевания, осмотре, данных исследований. Пациенту на приеме у врача необходимо наиболее точно и подробно описать начало и симптомы заболевания, рассказать о своих хронических болезнях.

Работа в Катаре. Доха. Работа заграницей. Зарплата. Расходы. Work in Qatar. DohaРабота в Катаре. Доха. Работа заграницей. Зарплата. Расходы. Work in Qatar. Doha

Своеобразным симптомом, развивающимся при катаральных изменениях верхних дыхательных путей (ларинготрахеит) — ложный круп. Не путать с дифтерийным!

Главное отличие ложного крупа:

Источник: https://zdorovyenadom.ru/kataralnye-yavleniya-verxnix-dyxatelnyx-putej-eto-chto-takoe-u-detej/

Поделиться:

Ссылка на основную публикацию
Похожее